Give your Patients More Than Just a Beautiful Smile!
Treatable Cases Include:
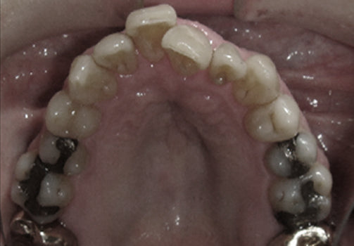
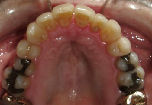
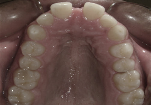
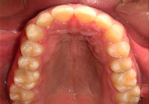
- Crowded Teeth
- Spacing Issues
- Midline Shift
- Edge-to-edge Bite
- Overbite
- Open Bite
- Crossbite
- Deep Bite
Park Dental Aligners provides the most straight-forward, economical pricing in the industry!
On Demand becomes Full-Service Pricing
CUSTOMER SUPPORT
Our team of trained representatives and technicians are committed to providing you with the best customer service and support to grow your practice and improve your digital workflow.
FDA CLEARED
We employ very stringent quality systems and processes to ensure the highest quality product and an exceptional service.
ISO
We follow the International Organization for Standardization, adhering to all worldwide proprietary, industrial and commercial standards.
LEADING ALIGNER LAB
Our premiere, state-of-the-art aligner facility is designed to meet your high volume demands with a fast turnaround time. We manufacture each aligner with the highest quality at an affordable cost.
HIGHLY TRAINED STAFF
Our team of experts are dedicated to providing you with the highest levels of care, improved treatment outcomes and improved profit margins for your practice; customized to your specific needs.
EXPERIENCE
Founded in 1967, Park Dental Research Corporation is a global leader in the development of 3D digital technology products and pioneering dental implant products with over 50 years of experience.










